ニュースリリース
新着情報
ログイン
English
画像診断事業
画像診断
医学生・研修医の方
医師、専攻医の方
教育機関の方
読影指南の使い方ガイド(PDF)
COVID-19 症例事例集
画像診断いろは
料金体系
Doc.naviの使い方
よくある質問
画像診断オンライン講座チャンネル
ヘルスケア事業
糖尿病危険度チェック
食事について
運動について
BMI計算
糖尿病LABチャンネル
【読影指南】CT画像
法人概要
顧問のご挨拶
活動内容
賛助会員
採用情報
ご寄付・ボランティア
定款・年次報告書
お問い合わせ
アプリダウンロード
ユーザー登録(無料)
【読影指南CT画像】画像診断検査結果10
ホーム
ヘルスケア
【読影指南】CT画像
【読影指南CT画像】症例一覧
症例画像10
画像診断検査結果10
【画像診断検査結果】
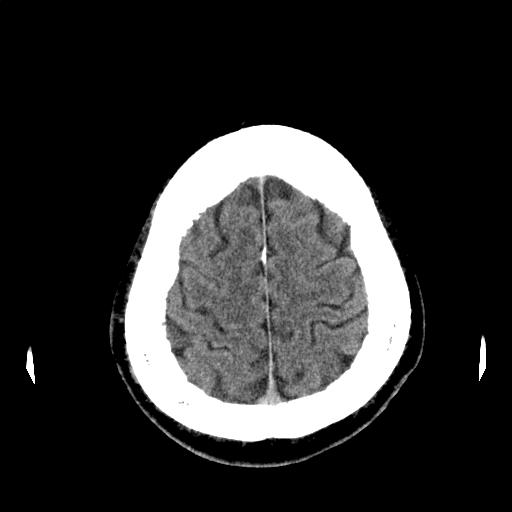
CTスライス画像
(Findings)
頭蓋内に明らかな出血を認めない。
明らかな占拠性病変や広範な脳梗塞を疑う所見は指摘できない。
必要に応じてMRIによる追加評価が望まれる。
両側上顎洞および篩骨洞に少量の軟部陰影を認める。
(Impression)
頭蓋内に明らかな出血を認めない。
(21/24)
画像一覧に戻る