ニュースリリース
新着情報
ログイン
English
画像診断事業
画像診断
医学生・研修医の方
医師、専攻医の方
教育機関の方
読影指南の使い方ガイド(PDF)
COVID-19 症例事例集
画像診断いろは
料金体系
Doc.naviの使い方
よくある質問
画像診断オンライン講座チャンネル
ヘルスケア事業
糖尿病危険度チェック
食事について
運動について
BMI計算
糖尿病LABチャンネル
【読影指南】CT画像
法人概要
顧問のご挨拶
活動内容
賛助会員
採用情報
ご寄付・ボランティア
定款・年次報告書
お問い合わせ
アプリダウンロード
ユーザー登録(無料)
【読影指南CT画像】画像診断検査結果11
ホーム
ヘルスケア
【読影指南】CT画像
【読影指南CT画像】症例一覧
症例画像11
画像診断検査結果11
【画像診断検査結果】
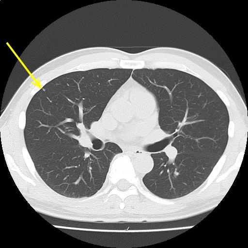
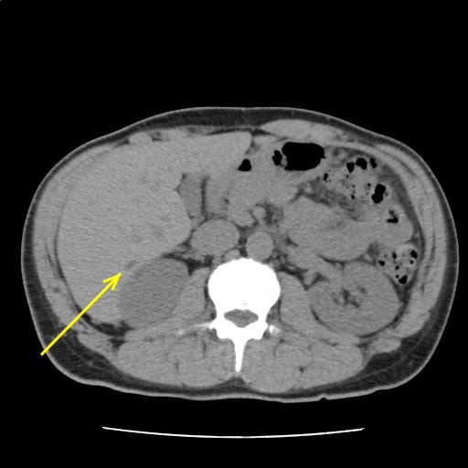
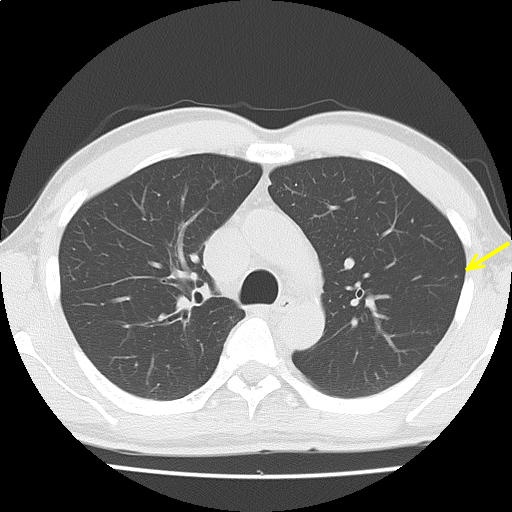
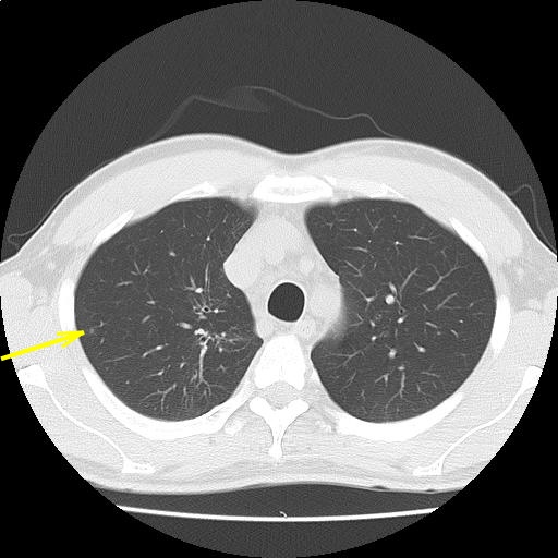
CTスライス画像
(Findings)
両肺末梢に微小結節を散見し、陳旧性炎症性変化と考える。
縦隔リンパ節腫大を認めない。胸水を認めない。
肝辺縁は整であり、明らかな慢性肝障害や肝硬変を疑う所見は認めない。
肝嚢胞を認める。
胆嚢、膵、腎、副腎、脾に特記すべき異常所見を認めない。
腹部に有意なリンパ節腫大を認めない。少量の腹水を認める。
(Impression)
陳旧性炎症性変化
肝嚢胞
少量腹水
(64/218)
(59/218)
(50/218)
(24/218)
(23/218)
(145/218)
画像一覧に戻る