ニュースリリース
新着情報
ログイン
English
画像診断事業
画像診断
医学生・研修医の方
医師、専攻医の方
教育機関の方
読影指南の使い方ガイド(PDF)
COVID-19 症例事例集
画像診断いろは
料金体系
Doc.naviの使い方
よくある質問
画像診断オンライン講座チャンネル
ヘルスケア事業
糖尿病危険度チェック
食事について
運動について
BMI計算
糖尿病LABチャンネル
【読影指南】CT画像
法人概要
顧問のご挨拶
活動内容
賛助会員
採用情報
ご寄付・ボランティア
定款・年次報告書
お問い合わせ
アプリダウンロード
ユーザー登録(無料)
【読影指南CT画像】画像診断検査結果13
ホーム
ヘルスケア
【読影指南】CT画像
【読影指南CT画像】症例一覧
症例画像13
画像診断検査結果13
【画像診断検査結果】
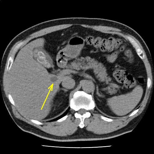
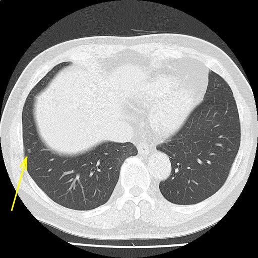
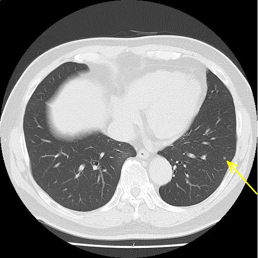
CTスライス画像
(Findings)
両肺下葉に小結節を認める。前回検査と比較して著変はなく、その他の肺野に明らかな異常所見を認めない。
陳旧性炎症性変化が疑われるが、経過観察を検討されたい。
縦隔リンパ節腫大を認めない。胸水を認めない。
脂肪肝を認め、肝嚢胞を伴う。
胆石を認める。
(Impression)
両下葉に小結節を認める。経過観察をご検討されたい。
(23/128)
(21/128)
(72/128)
画像一覧に戻る