ニュースリリース
新着情報
ログイン
English
画像診断事業
画像診断
医学生・研修医の方
医師、専攻医の方
教育機関の方
読影指南の使い方ガイド(PDF)
COVID-19 症例事例集
画像診断いろは
料金体系
Doc.naviの使い方
よくある質問
画像診断オンライン講座チャンネル
ヘルスケア事業
糖尿病危険度チェック
食事について
運動について
BMI計算
糖尿病LABチャンネル
【読影指南】CT画像
法人概要
顧問のご挨拶
活動内容
賛助会員
採用情報
ご寄付・ボランティア
定款・年次報告書
お問い合わせ
アプリダウンロード
ユーザー登録(無料)
【読影指南CT画像】画像診断検査結果5
ホーム
ヘルスケア
【読影指南】CT画像
【読影指南CT画像】症例一覧
症例画像5
画像診断検査結果5
【画像診断検査結果】
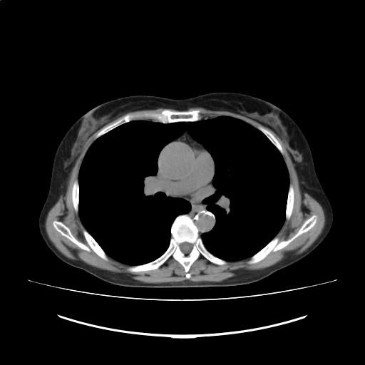
CTスライス画像
(Findings)
肺野に結節影を認めない。
縦隔リンパ節の有意な腫大および胸水を認めない。
上行大動脈は軽度拡大しており、最大径約43mmである。前回と比較して著変なし。
肝嚢胞を認める。
左腎に石灰化を認める。
軽度の脾腫を認める。
胆嚢、膵、副腎に特記すべき異常所見を認めない。
大動脈周囲リンパ節に有意な腫大を認めない。少量の腹水を認める。
(Impression)
多発肺結節・縦隔リンパ節腫大:r/o 多発肺転移
肝嚢胞
左腎石灰化
軽度脾腫
(179/207)
画像一覧に戻る