【画像診断検査結果】

CTスライス画像

CTスライス1

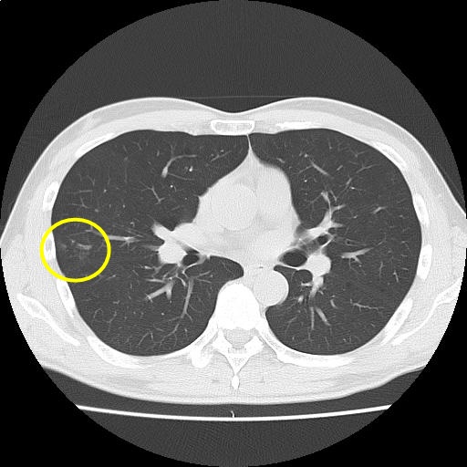
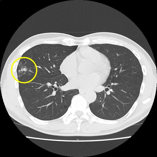
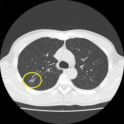
(Findings)

右肺上葉の斑状影はやや濃度低下を示しており、炎症性変化を疑う。
中葉に気道に沿った粒状影および結節を認め、非結核性抗酸菌症などの慢性気道炎症が鑑別に挙がる。前回と比較してわずかに増悪。
両肺にブラを散見する。
縦隔リンパ節腫大および胸水を認めない。

甲状腺右葉に低濃度結節を認めるが、著変は認めない。

腎嚢胞を認める。
肝、胆嚢、膵、副腎、脾に特記すべき異常所見を認めない。
腹部に有意なリンパ節腫大を認めない。腹水を認めない。

(Impression)

右肺上葉斑状影:やや濃度低下しており、炎症性変化を疑う。
慢性気道炎症疑い:わずかに増悪。
単純CT上、背部痛の原因となり得る明らかな異常所見を認めない。
 
CT画像56
(54/225)
CT画像47
(45/225)
CT画像46
(44/225)
CT画像42
(40/225)
CT画像40
(38/225)
CT画像216
(214/225)