【画像診断検査結果】

CTスライス画像

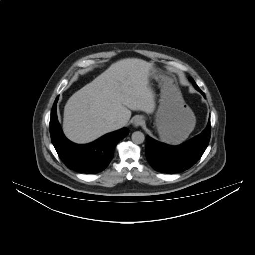
CTスライス1

(Findings)

肺野に明らかな活動性炎症像および腫瘤性病変を認めない。
縦隔、肺門、鎖骨上窩にリンパ節の病的腫大なし。
胸水を認めない。

胃に明らかな病的壁肥厚は指摘できないが、消化管病変の評価については内視鏡検査が望まれる。

軽度脂肪肝を認める。肝内に明らかな占拠性病変(SOL)を認めない。
胆嚢、膵、腎、脾、副腎に特記すべき異常所見を認めない。
傍大動脈領域にリンパ節の病的腫大を認めない。
腹水を認めない。

(Impression)

撮像範囲内に特記すべき異常所見を認めない。
 
CT画像166
(164/212)