ニュースリリース
新着情報
ログイン
English
画像診断事業
画像診断
医学生・研修医の方
医師、専攻医の方
教育機関の方
読影指南の使い方ガイド(PDF)
COVID-19 症例事例集
画像診断いろは
料金体系
Doc.naviの使い方
よくある質問
画像診断オンライン講座チャンネル
ヘルスケア事業
糖尿病危険度チェック
食事について
運動について
BMI計算
糖尿病LABチャンネル
【読影指南】CT画像
法人概要
顧問のご挨拶
活動内容
賛助会員
採用情報
ご寄付・ボランティア
定款・年次報告書
お問い合わせ
アプリダウンロード
ユーザー登録(無料)
【読影指南CT画像】画像診断検査結果9
ホーム
ヘルスケア
【読影指南】CT画像
【読影指南CT画像】症例一覧
症例画像9
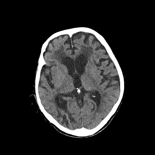
画像診断検査結果9
【画像診断検査結果】
CTスライス画像
(Findings)
頭蓋内に明らかな出血や急性期脳梗塞を疑う所見は認めない。
右後頭葉に陳旧性脳梗塞を疑う低吸収域を認めるが、前回と比較して著変はない。
大脳白質の慢性虚血性変化および脳萎縮は年齢相応と考える。
(Impression)
明らかな急性期病変を疑う所見は認めない。
(9/20)
画像一覧に戻る