【画像診断検査結果】

(Findings)

肺野に気腫性変化を認める。
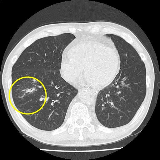
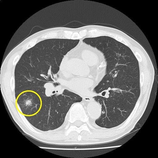
気管支壁肥厚はやや増悪。右肺優位に粒状影およびすりガラス影〜コンソリデーションの出現を認め、気管支肺炎を疑うが、 右下葉に一部腫瘤様にみえる所見あり、経過観察を要する。
縦隔リンパ節腫大を認めるが、炎症性反応と考える。
胸水は認めない。

肝嚢胞を認める。
膵頭部〜体部に膵管拡張を認めるが、前回検査と比較して著変なし。
腎嚢胞を認める。
結腸憩室を認める。
胆嚢、副腎、脾に特記すべき所見なし。
腹部大動脈に限局性解離を認めるが、著変なし。
大動脈周囲に小リンパ節を散見するが、明らかな増大はなく、非特異的反応と考える。
腹水は認めない。

(Impression)

s/o 気管支肺炎
膵管拡張:著変なし
 
CT画像3
(43/221)
CT画像10
(34/221)
CT画像20
(28/221)