• ニュースリリース
  • 新着情報
  • ログイン
  • English
特定非営利活動法人 メディカル指南車
  • 画像診断事業
    • 画像診断
    • 医学生・研修医の方
    • 医師、専攻医の方
    • 教育機関の方
    • 読影指南の使い方ガイド(PDF)
    • COVID-19 症例事例集
    • 画像診断いろは
    • 料金体系
    • Doc.naviの使い方
    • よくある質問
    • 画像診断オンライン講座チャンネル
  • ヘルスケア事業
    • 糖尿病危険度チェック
    • 食事について
    • 運動について
    • BMI計算
    • 糖尿病LABチャンネル
    • 【読影指南】CT画像
  • 法人概要
    • 顧問のご挨拶
    • 活動内容
    • 賛助会員
    • 採用情報
    • ご寄付・ボランティア
    • 定款・年次報告書
  • お問い合わせ
アプリダウンロード
ユーザー登録(無料)

【読影指南】CT画像読影クイズ 問題1

  1. ホーム
  2. ヘルスケア
  3. 【読影指南】CT画像
  4. 【読影指南】CT画像読影クイズ一覧
  5. 問題1

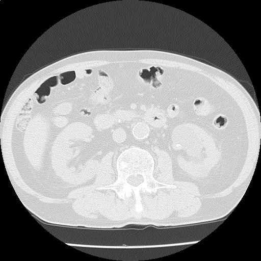
画像診断依頼情報

咳が続く。甲状腺から骨盤までスクリーニング

患者情報

年齢: 76歳
性別: 男性
検査部位: 胸腹部
検査種別: CT

CTスライス画像

CTスライス1
下記から正しいものを選べ
 
答えをみる
 

特定非営利活動法人
メディカル指南車

医療に関わる大学や企業の研究者が様々なアイデアを持ち寄り、患者と医療従事者をつなぐしくみを生み出し、広く社会に貢献できる事業運営を目指しています。

〒540-0026
大阪市中央区内本町1丁目2−1
大晋第3ビル 202号

  • 法人概要
  • ご寄付・ボランティア
  • ニュースリリース

画像診断事業「読影指南」

  • 画像診断事業
  • 医学生、研修医の方へ
  • 医師、専攻医の方へ
  • 教育機関の方へ
  • COVID-19 症例事例集
  • 画像診断いろは
  • 料金体系
  • Doc.naviの使い方
  • よくある質問
  • 画像診断オンライン講座チャンネル

ヘルスケア事業

  • 糖尿病危険度チェック
  • 食事療法
  • 運動療法
  • BMI計算
  • 糖尿病LABチャンネル
Download on the App Store
ユーザー登録(無料)
ログイン
お問い合わせ

© Non-Profit Organization Medical Shinansha All rights reserved.

  • 特定商取引法に基づく表示
  • プライバシーポリシー
  • ご利用にあたって
  • サイトマップ